西门子未来型CT
在这辞旧迎新之际,在侯马市及卫体局领导的大力支持下,侯马市中医院最新引进的西门子SOMATOMgo.fit,62排,124层CT,于2022年1月25日安装到位。

该型号CT为西门子最新研制未来型CT,目前在山西省仅安装到位两家,我院是首家室内安装用户。
该款CT扫描速度快,单圈时间仅0.33秒,常规胸部3秒即可扫描完成。扫描层面薄,最小达0.6mm,大大提高了图像分辨率。它具有西门子独创黑科技,利用射线防护盾,能谱纯化,智能KV,迭代算法等技术,明显降低扫描辐射剂量,使CT检查更安全。可以进行低剂量肺癌筛查,儿童检查。
该款CT又被称为心血管版CT,最大的优点在血管成像方面。可以精准实现冠脉CTA,头颈部CTA,胸腹部CTA,四肢CTA,及CTV的检查。它具有强大的骨三维成像技术,仿真内窥镜技术,可以完美展现骨骼的畸形外伤情况。使呼吸系统成像更精细,可以完美显示支气管树,肺血管,肺内病灶及相关毗邻关系等,对支气管扩张,肺气肿,肺内小结节,肺癌的诊断等都有独特的价值。
另外它利用独创技术可以减轻体内金属植入物导致的射线硬化等伪影,使金属植入物不再成为我们的检查禁忌和限制。
1、 冠状动脉CTA
冠状动脉CTA在检查冠状动脉有无狭窄及其他病变、冠状动脉支架植入后评价、搭桥术前计划和术后评价具有极大的优越性。实现冠状动脉的无创检查,它反映血管狭窄程度及各种血管病变,为冠心病的筛选普查及诊断提供了一种安全、迅速的检查方法,更有利于临床各类心血管疾病的诊断。

2、肺动脉CT血管造影(CTA)
肺动脉CTA是诊断肺动脉血栓栓塞的重要标准、也是先天性肺动脉发育异常、原发性或原因不明的肺动脉高压及纵隔肿瘤和大血管病变的主要依据,特别是诊断肺动脉血管有无血栓,以及有无血管硬化,准确性特别高,是一种评价肺动脉血管的无创性检查方法。


3、头颈联合血管CTA
头颈CTA可清晰显示头颈部各血管的形态、位置及与临近组织的关系;可较好的判断颈动脉和椎动脉狭窄的部位、程度及畸形,是缺血性脑血管疾病、动脉硬化、烟雾病的重要筛查手段,也是动脉瘤筛查和术前评价的重要方法;清晰显示颈动脉瘤与颈内、外动脉的关系。

4、主动脉CTA
主动脉CTA可清晰显示主动脉系统的解剖形态及病变的部位、大小及范围,也能清晰显示主动脉管腔、动脉壁厚度、钙化、动脉瘤内附壁血栓的情况,临床主要应用于主动脉瘤、先天性主动脉发育异常、主动脉及分支狭窄闭塞疾病、大动脉炎、马凡综合症的诊断与鉴别诊断。


5、双下肢动脉CTA
通过CTA可以明确下肢动脉形态、有无管腔狭窄、有无闭塞、动脉硬化程度、有无动脉瘤样扩张等情况。是检查下肢动脉疾病的一项重要无创检查手段。


6、泌尿系CT造影(CTU)
CTU能够清晰显示泌尿系病变位置、大小、范围、与周围组织间的关系,能准确定位及定性,为尿路结石、肿瘤等多种疾病提供直观清晰的影像信息,集合了传统CT、B超及静脉肾盂造影(包括逆行尿路造影)的优点。

7、全身各部位骨三维重建
该设备强大的后处理软件,能对全身各部位骨三维立体快速成像,清晰显示骨结构的细微结构,对骨折及内固定显示清晰、直观,能更好地为临床服务。


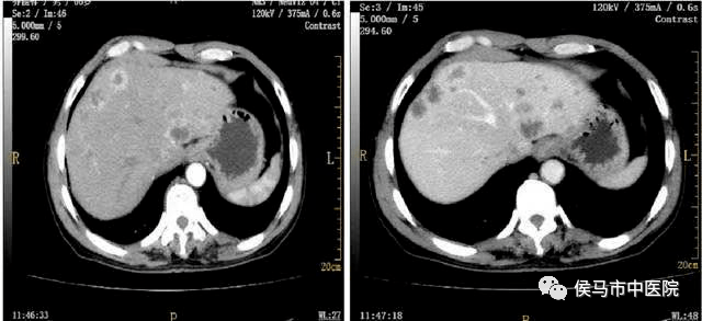
8、CT增强
该设备超清的图像质量,超高的分辨率,对病灶定性能力高,对小病灶的检出率高,尤其适合颅脑、颈部、胸部、腹部、盆腔等实质脏器的检查。

新CT的正式投入使用,将极大提升侯马市中医院CT诊断水平和学术地位,提高医院影像的整体服务能力和水平,为临床诊疗提供更加准确的依据和强有力的技术支持,进一步提升诊疗水平和质量!



晋公网安备 